Фиброзная гамартома младенцев
Фиброзная гамартома младенцев – это доброкачественное новообразование из мягких тканей, которое диагностируется у детей в возрасте до 2-х лет. Болезнь возникает при нарушении эмбрионального развития, причины которого пока неизвестны. Гамартома проявляется в виде округлого безболезненного новообразования диаметром до 8 см, располагающегося на верхней половине туловища, в промежности, проксимальном отделе нижней конечности. Диагностика заболевания проводится по данным УЗИ и МРТ пораженного участка тела, гистологического и иммуногистохимического анализов. Лечение только хирургическое – полное удаление новообразования в пределах здоровых тканей.
Общие сведения
Впервые заболевание описано в 1956 году австралийским патологом Р.Д. Реем и названо «подкожной фиброматозной опухолью младенчества». В 1965 году гистологические признаки новообразования были детально изучены американским патологоанатомом Ф.М. Энзингером, который предложил современное название «фиброзная гамартома младенцев (ФГМ)». У мальчиков патология встречается чаще, чем у девочек. Заболевание составляет около 2% всех мягкотканных опухолей у младенцев и до 5% фибропролиферативных процессов у детей. У мальчиков ФГМ возникает в 2-3 раза чаще, чем у девочек.
Причины
Заболевание имеет гамартоматозную природу – возникает в результате нарушений на этапе эмбрионального развития тканей. ФГМ относится к малоизученным врожденным состояниям неизвестной этиологии. В клинической генетике обсуждается роль генетических мутаций (взаимной транслокации [t(2;3) (q31;q21)]) и действия тератогенных факторов, однако точные причины пока не установлены. Семейные случаи фиброзной гамартомы отсутствуют, что позволяет исключить наследственный характер болезни.
Патогенез
Развитие гамартомы связывают с нарушением дифференцировки и организации мягких тканей на ограниченном участке тела в период эмбрионального развития. Новообразование состоит из клеточных элементов разной степени зрелости, которые имеют неправильное расположение и формируют аномальную гистологическую структуру. Фиброзная гамартома содержит клеточные элементы тех тканей, из которых она развивается, и является доброкачественным образованием в 100% случаев.
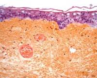
Макроскопически фиброзная гамартома младенцев представляет собой розовую или желтоватую массу, в которой видны бледные волокнистые включения. Микроскопически она состоит из трех гистологических компонентов, присутствующих в различных пропорциях. В структуру ФГМ входят плотные фиброзные волокна, зрелая жировая ткань, примитивная мезенхима, собранная в виде концентрических завитков или полос.
Симптомы
Фиброзная гамартома манифестирует в первые 2 года жизни ребенка, причем в четверти случаев опухоль диагностируется с момента рождения. Наиболее типичная локализация у младенцев – подмышечная впадина. Новообразование нередко обнаруживается на верхней конечности, шее, бедре, спине, передней поверхности грудной клетки. В медицинской литературе имеются единичные сообщения о формировании опухоли в паховой зоне и промежности.
Классическая гамартома у младенцев вырастает до 3-8 см в диаметре, но изредка встречаются гигантские новообразования размерами свыше 10 см. Основной симптом болезни – наличие округлого образования эластической консистенции, которое покрыто неизмененной кожей. Крупные ФГМ, расположенные вблизи суставов, мешают активным и пассивным движениям, вызывают дискомфорт и изредка сопровождаются болевым синдромом.
Особого внимания заслуживают фиброзные гамартомы, располагающиеся на передне-боковой области шеи вблизи нижней челюсти. При увеличении в размерах они ограничивают свободное открывание рта, нарушают процессы сосания и жевания, затрудняют речевое развитие ребенка. При прорастании опухоли вглубь тканей возможно поражение ветви нижнечелюстной кости, анкилоз височно-нижнечелюстного сустава. Болезнь также сопровождается значительным косметическим дефектом.
Осложнения
Несмотря на доброкачественный характер, фиброзная гамартома младенцев вызывает множество негативных последствий. Она характеризуется быстрым ростом, вследствие чего возникает косметический дефект, асимметрия тела, сдавление мышц и нарушение развития костей в пораженной области. Поскольку ФГМ не имеет плотной капсулы и четкой границы с окружающими тканями, она способна к инвазивному незлокачественному росту и повреждению соседних анатомических структур.
Диагностика
Младенцам с объемными новообразованиями требуется консультация детского хирурга. При сборе анамнеза учитывается время появления первых признаков опухоли, скорость ее роста, наличие боли или других субъективных симптомов. По физикальным признакам определяется объемное образование предположительно доброкачественной природы. Для определения происхождения и точного вида новообразования применяются такие методы исследования:
- УЗИ мягких тканей. Эхосонография – базовый метод инструментального обследования у детей благодаря простоте выполнения, безболезненности, безвредности, отсутствию специальной подготовки. При ультразвуковой диагностике определяют неоднородное гиперэхогенное образование, которое имеет дольчатую структуру и нечеткие контуры.
- МРТ мягких тканей. При визуализации ФГМ на Т1-взвешенном изображении выявляют неоднородную структуру: гиперинтенсивный сигнал от участков жировой клетчатки, изоинтенсивный или гипоинтенсивный сигнал от соединительнотканных компонентов. При абсолютных противопоказаниях к МРТ возможно проведение КТ, однако эта методика менее информативна.
- Гистологический анализ. При микроскопии определяют наличие волокон, жировых и мезенхимальных клеток. Иммуногистохимическое исследование выявляет положительный результат на антитела к гладкой мускулатуре (SMA), актин, белок S-100, CD-34. Исследование на десмин, BCL-2 Ki-67 показывает отрицательный результат.
Дифференциальная диагностика
Фиброзную гамартому младенцев дифференцируют с другими типами новообразований, которые встречаются в педиатрической практике: ювенильным фиброматозом, фиброзной опухолью, эмбриональной рабдомиосаркомой, кальцифицирующей апоневротической фибромой. В список дифференциальной диагностики также входит липома, гемангиома, лимфангиома, гистиоцитома, лейомиома. Главным отличительным признаком ФГМ является типичная трехкомпонентная структура.
Лечение фиброзной гамартомы младенцев
Радикальное удаление новообразования – единственная эффективная стратегия при диагнозе ФГМ. Операция рекомендуется всем младенцам для исправления косметического дефекта, улучшения качества жизни, профилактики осложнений. Тактика оперативного вмешательства определяется размерами, локализацией, степенью прорастания опухоли в соседние ткани. Лечение проводят в рамках хирургического стационара под общим обезболиванием.
Удаление фиброзной гамартомы младенцев рекомендуют проводить как можно раньше – в кратчайшие сроки после выявления болезни. При небольших размерах новообразования операция показывает наилучший эстетический результат, позволяет выполнять экономную резекцию тканей. При крупной ФГМ потребуется более сложное хирургическое вмешательство, которое включает пересадку кожного лоскута для закрытия образовавшегося дефекта.
Прогноз и профилактика
Фиброзная гамартома успешно поддается хирургическому лечению, однако при неполном удалении новообразования в 12-16% случаев наблюдаются рецидивы. Для улучшения отдаленного прогноза в современной детской хирургии совершенствуется тактика операций при ФГМ, проводится интраоперационный экспресс-анализ биоптатов для определения границ иссечения опухоли. Профилактика болезни не разработана ввиду ее эмбрионального механизма развития и неясных провоцирующих факторов.
|
Литература
1. Фиброзная гамартома младенцев редкой локализации, клинические случаи/И.М. Каганцов и соавт.// Российский журнал детской гематологии и онкологии. – 2022. – №1. 2. Детская хирургия: учебник/ М. П. Разин, С. В. Минаев, И. А. Турабов. – 2020. 3. Fibrous hamartoma of infancy: an experience of a single institute/ Kang G., Suh Y.L., Han J., Kwon G.Y.// J Korean Surg Soc. – 2011. – №1. 4. Fibrous hamartoma of infancy/ Vinayak R.S., Kumar S., Chandana S., Trivedi P.// Indian Dermatol Online J. – 2011. – №1. |
Код МКБ-10
D21 |
| Процедуры и операции | Средняя цена |
| Диагностика / МРТ / МРТ мягких тканей | от 92 р. 727 адресов |
| Диагностика / МРТ / МРТ мягких тканей | от 600 р. 545 адресов |
| Педиатрия / Детская хирургия / Консультации в детской хирургии | от 66 р. 429 адресов |
| Педиатрия / УЗИ у детей / Прочие УЗИ у ребенка | от 550 р. 376 адресов |
| Диагностика / МРТ / МРТ мягких тканей | от 600 р. 347 адресов |
| Диагностика / Компьютерная томография (КТ) / КТ мягких тканей | от 600 р. 291 адрес |
| Диагностика / МРТ / МРТ мягких тканей | от 600 р. 161 адрес |
| Травматология-ортопедия / Малые операции в травматологии / Кожная пластика | 29658 р. 98 адресов |
| Диагностика / Компьютерная томография (КТ) / КТ мягких тканей | от 2980 р. 55 адресов |
| Дерматология / Диагностика в дерматологии / Биопсия в дерматологии | 6255 р. 638 адресов |
Комментарии к статье
Вы можете поделиться своей историей болезни, что Вам помогло при лечении фиброзной гамартомы младенцев.


