Тиреотропинома
Тиреотропинома — это доброкачественное новообразование гипофиза, продуцирующее тиреотропный гормон. Проявляется симптомами гипертиреоза, офтальмологическими расстройствами, интракраниальной гипертензией, вторичным гипопитуитаризмом. Диагностика осуществляется по данным анамнеза, гормонального обследования, визометрии, периметрии, церебральной МРТ, УЗИ тканей щитовидной железы. Консервативная терапия включает назначение ингибиторов секреции тиреотропина. Хирургическое лечение заключается в полной аденомэктомии, при ее невозможности проводится радиохирургическая операция.
Общие сведения
Тиреотропинома относится к редким видам функциональной гипофизарной аденомы. На ее долю приходится около 0,5-3% от всех аденом. Клетки новообразования секретируют тиреотропный гормон (ТТГ), что влечет развитие тиреотоксикоза. Первое описание тиреотоксикоза центрального генеза приходится на 1960 год. С тех пор в литературе представлено порядка 460 случаев заболевания. Распространенность патологии не превышает 1 случай на 1 млн. населения. Средний возраст заболевших ‒ 50-60 лет. Гендерные различия заболеваемости не наблюдаются.
Причины тиреотропиномы
Этиологические факторы, приводящие к изменениям нормальных тиреотропинпродуцирующих клеток, неизвестны. Характерные для многих опухолей онкогены, нарушения в генах рецепторов в тиреотропиномах не выявлены. Моноклональность клеток опухоли позволяет предположить стимуляцию патологической пролиферации тиреотрофов определенным триггером с последующим возникновением мутаций. Мутагеными триггерами могут выступать:
- Физические факторы. Включают ультрафиолетовое облучение, радиоактивное воздействие, чрезмерные колебания температуры окружающей среды. Эти факторы способны привести к возникновению разрывов в молекуле ДНК.
- Химические вещества. К ним относятся асбест, азотистая кислота, колхицин, бензапирен, никотин, наркотики, алкоголь и прочие. Попадают в организм человека с пищей, водой, вдыхаемым воздухом. Находящиеся в почве мутагены переходят в растения, которые употребляются в пищу.
- Биологические факторы. Наиболее распространено мнение о мутагенном воздействии вирусов. Мутации могут возникать после перенесенного инфекционного заболевания, особенно при персистировании вируса.
Патогенез
Под воздействием мутагенных факторов среды в геноме отдельных тиреотрофов возникают изменения, приводящие к нарушению лимитирования деления и неконтролируемой пролиферации пораженных клеток с образованием опухоли. Мутировавшие клетки синтезируют ТТГ независимо от уровня периферических гормонов тироксина (Т4) и трийодтиронина (Т3). Возможно, нечувствительность аномальных тиреотрофов к высокому содержанию тиреоидных гормонов, в норме ингибирующих продукцию ТТГ, связана с возникшими в результате мутации изменениями их рецепторов.
Морфологически тиреотропинома представляет собой доброкачественное новообразование фиброзного строения. В большинстве случаев опухоль имеет большие размеры (макроаденома) и характеризуется инвазивным ростом. Микроскопическая структура обычно представлена высоко дифференцированными аденоматозно трансформированными тиреотрофными клетками. Низкодифференцированные образования состоят из веретенообразных клеток с гетерохромными ядрами, малым количеством секреторных гранул.
Классификация
Среди всех наблюдаемых случаев тиреотропином выявлены опухоли с усиленной продукцией только ТТГ и новообразования с гиперпродукцией и других гормонов гипофиза. Данный факт был положен в основу клинической классификации, широко применяемой в эндокринологии. Согласно ей выделяют следующие формы тиреотропиномы:
- ТТГ-секретирующая. Составляет до 80% всех тиреотропином. Характеризуется усиленной секрецией исключительно тиреотропного гормона. В клинике на первый план выходят проявления гипертиреоза.
- Смешанная. Встречается в 20-25% случаев. Наряду с ТТГ продуцирует другие гипофизарные гормоны, чаще пролактин, соматостатин. Симптоматика гипертиреоза зачастую маскируется клиническими проявлениями гиперпролактинемии, акромегалии.
Симптомы тиреотропиномы
Заболевание дебютирует признаками гипертиреоза. Пациенты отмечают учащенное сердцебиение, тревожность, снижение массы тела, потливость. Характерна эмоциональная лабильность, раздражительность, ускорение мышления при снижении способности концентрировать внимание. Возникает инсомния, не поддающаяся коррекции снотворными средствами.
Повышенный метаболизм проявляется гипертермией, усилением потоотделения, увеличенным аппетитом. Наблюдается истончение кожных покровов и волос. Кожа становится теплой и влажной. Возможны неустойчивость стула, полиурия. Экзофтальм, как правило, слабо выражен или отсутствует. Типична умеренная выраженность симптомов тиреотоксикоза.
При смешанных тиреотропиномах повышенная продукция соматотропного гормона клинически проявляется симптомами акромегалии с гипертрофией носа, скул, ушных раковин, надбровных дуг, увеличением размера кистей и стоп. Гиперпродукция пролактина у женщин приводит к галакторее, нарушению менструального цикла. Последнее наблюдается и у 30% пациенток с чистыми ТТГ-секретирующими опухолями.
Макроаденомы за счет своей большой массы приводят к компрессии зрительных путей, что проявляется зрительными расстройствами. Отмечается снижение остроты зрения, сужение зрительных полей, диплопия. Увеличение тиреотропиномы сопровождается повышением внутричерепного давления, в связи с чем пациенты отмечают возникновение цефалгий, чувства тяжести век, давления на глазные яблоки. Головная боль носит тупой диффузный характер, иногда протекает с тошнотой.
Инвазивный рост новообразования сопровождается разрушением окружающих здоровых гормон-продуцирующих клеток с развитием гипопитуитаризма. Чаще других синдромов гормональной недостаточности развивается вторичный гипогонадизм. Клинически отмечается снижение либидо. Мужской гипогонадизм проявляется уменьшением размеров яичек, эректильной дисфункцией, нарушением сперматогенеза. Женский гипогонадизм сопровождается расстройством менструальной функции, аменореей.
Осложнения
Возможны сердечно-сосудистые осложнения в виде фибрилляции предсердий, мерцательной аритмии, сердечной недостаточности. Однако они развиваются гораздо реже, чем при болезни Грейвса. Осложнением гипогонадизма является бесплодие. Описаны единичные случаи трансформации тиреотропиномы в злокачественную, активно метастазирующую карциному.
Диагностика тиреотропиномы
При сборе анамнестических данных у многих пациентов выявляется длительно протекающий гипертиреоз. Редкость тиреотропиномы обуславливает частую ошибочную диагностику болезни Грейвса, в результате чего отдельные больные имеют в анамнезе данные о проведенной тиреоидэктомии или радиойодной терапии. В перечень необходимых для диагностики тиреотропиномы обследований входят:
- Осмотр невролога. В неврологическом статусе определяются признаки интракраниальной гипертензии, тремор пальцев в позе Ромберга. Обращает внимание лабильность эмоциональной сферы.
- Гормональные исследования. Выявляют повышенное содержание тиреоидных гормонов и ТТГ в крови. При стимуляции тиреолиберином в 90% случаев определяется недостаточный ответ. Для диагностики смешанных форм тиреотропиномы необходимо исследование концентрации всех гипофизарных гормонов.
- Рентгенография турецкого седла. При агрессивно растущей ТТГ-продуцирующей аденоме позволяет выявить косвенные признаки опухоли. На наличие аденомы указывает остеопороз и деструкция турецкого седла.
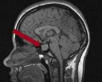
- МРТ головного мозга. Более информативна, чем рентгенография. Позволяет визуализировать интраселлярную опухоль гипофиза, определить ее размеры, инвазивность роста. Для аденомы характерно изменение размеров, структуры и формы турецкого седла.
- Офтальмологическое обследование. Визометрия диагностирует расстройство остроты зрения. При выраженном повышении интракраниального давления проведение офтальмоскопии выявляет застойные явления на глазном дне, отечность макулы.
- УЗИ щитовидной железы. Показано с целью дифференциальной диагностики с патологией щитовидной железы. Для тиреотропиномы характерна диффузная гипертрофия щитовидной железы вследствие постоянной стимуляции ТТГ.
Дифференциальная диагностика
Тиреотропиному необходимо дифференцировать от гипертиреоза, связанного с болезнями щитовидной железы: диффузным токсическим зобом, узловым зобом, тиреоидитом. Основным отличительным признаком этих заболеваний является сниженный уровень ТТГ. Повышение тиреотропного гормона наряду с Т3 и Т4 кроме тиреотропиномы наблюдается при синдроме резистентности к тиреоидным гормонам. Последний характеризуется семейностью случаев, нормальным ответом на тиреолиберин, отсутствием изменений на МРТ области турецкого седла.
Лечение тиреотропиномы
Консервативная терапия
Медикаментозное лечение направлено на фармакологическое подавление гиперпродукции ТТГ. Приводит к существенному регрессу размеров новообразования, восстановлению зрительной функции. Терапия требует длительного постоянного приема медикаментов. Основными группами фармпрепаратов, рекомендованных современной нейроэндокринологией для терапии заболевания, выступают:
- Аналоги соматостатина. Подавляют секрецию ТТГ, нормализуют уровень тиреоидных гормонов в 90% случаев. Побочными эффектами терапии являются камнеобразование в желчевыводящих путях, гипергликемия. В отдельных случаях возможна резистентность к терапии соматостатином.
- Агонисты дофамина. Ингибируют продукцию тиреотропина за счет воздействия на дофаминовые рецепторы клеток тиреотропиномы. Однако у большинства больных супрессия носит частичный характер. Терапия показана при неэффективности или развитии побочных реакций при лечении препаратами соматостатина.
Хирургическое лечение
Оперативное удаление тиреотропиномы считается наиболее радикальным методом. Рекомендовано полное удаление аденомы. Невозможность тотальной резекции может быть обусловлена экстраселлярным распространением новообразования, выраженным фиброзным компонентом опухоли. Основными вариантами оперативного лечения считаются:
- Хирургическое удаление. Полная резекция удается в 100% микроаденом и 60% макроаденом. Аденомэктомия проводится транссфеноидальным и субфронтальным доступом. Полное удаление новообразования приводит к нормализации функции гипофиза и эутиреозу.
- Радиохирургическая операция. Показана в основном при малом размере тиреотропиномы. При больших образованиях возможно лишь частичное удаление, что приводит к временному улучшению. К радиохирургическому методу прибегают при наличии показаний к хирургическому удалению и неэффективности консервативного лечения.
Прогноз и профилактика
В целом тиреотропинома имеет более доброкачественное течение, чем токсический зоб, не сопровождается выраженным гипертиреозом и осложнениями. Своевременное хирургическое и медикаментозное лечение приводит к нормализации гормонального фона с регрессом симптоматики. Осложнения возникают вследствие неправильной диагностики и лечения новообразования как болезни Грейвса.
Первичная профилактика заключается в устранении влияния мутагенных факторов на организм человека. Вторичная профилактика направлена на предупреждение рецидивов. К ней относится как можно более полная резекция тиреотропиномы при хирургическом лечении, постоянная медикаментозная терапия, направленная на супрессию синтеза тиреотропина.
|
Литература
1. Тиреотропинома. Описание двух клинических случаев/ Карапетян А.Р, Гормолысова Е. В., Галушко Е.В.// Клиническая и экспериментальная эндокринология. - 2016. - №3. 2. Тиреотропинома: поздний диагноз и эффективность терапии/ Петрик Г.Г., Космачева Е.Д., Полякова Ю.И., Бутаева С. В., Рожинская Л.Я., Белая Ж.Е.// Проблемы эндокринологии. -2017. - №1. 3. Тиреотропинома: трудности дифференциальной диагностики (клинический случай)/ Пржиялковская Е. Г., Газизова Д. О., Григорьев А. Ю., Воронкова И. А., Тюльпаков А. Н., Рожинская Л. Я.// Клиническая и экспериментальная эндокринология. - 2011. - №2. 4. ThyrotropinomA: Diagnosing a Rare Cause of Hyperthyroidism/ Bhanot M, Hendrickson C. // Journal of the Endocrine Society. - 2021. - 5(1). |
Код МКБ-10
D35.2 |
| Процедуры и операции | Средняя цена |
| Эндокринология / Диагностика в эндокринологии / УЗИ в эндокринологии | от 39 р. 2830 адресов |
| Эндокринология / Консультации в эндокринологии | от 70 р. 1833 адреса |
| Неврология / Диагностика в неврологии / МРТ в неврологии | от 90 р. 949 адресов |
| Неврология / Диагностика в неврологии / МРТ в неврологии | от 600 р. 802 адреса |
| Эндокринология / Диагностика в эндокринологии / Рентгенология | от 53 р. 744 адреса |
| Неврология / Диагностика в неврологии / КТ в неврологии | от 67 р. 632 адреса |
| Офтальмология / Диагностика в офтальмологии / Осмотр структур глаза | от 200 р. 360 адресов |
| Неврология / Консультации в неврологии | от 1000 р. 201 адрес |
| Диагностика / Компьютерная томография (КТ) / КТ головы | от 2800 р. 177 адресов |
| Офтальмология / Диагностика в офтальмологии / Офтальмологические тесты | от 96 р. 156 адресов |
Комментарии к статье
Вы можете поделиться своей историей болезни, что Вам помогло при лечении тиреотропиномы.


