Синдром Бувере
Синдром Бувере – это острая обструкция привратника или двенадцатиперстной кишки желчным камнем у пациентов с калькулезным холециститом, осложненным холецистопилородуоденальным свищом. Заболевание проявляется неспецифическо й триадой симптомов: боль в эпигастральной области, тошнота, рвота. Диагностика состояния включает рентгенологическое, ультразвуковое, эндоскопическое исследование ЖКТ. Лечение патологии может быть эндоскопическим (литотрипсия и удаление конкремента) или хирургическим (энтеролитотомия, холецистэктомия).
Общие сведения
Синдром Бувере – желчнокаменная пилородуоденальная непроходимость, частный случай билиарного илеуса. Не него приходится 0,3%-0,5% всех осложнений ЖКБ и 1-3% всех случаев желчно-кишечной непроходимости. Заболевание названо в честь французского врача-терапевта Л.Бувере, опубликовавшего в 1896 г. два собственных клинических наблюдения обтурации луковицы ДПК желчным камнем. Синдром Бувере чаще развивается у женщин (соотношение Ж:М составляет 9:1) старше 70 лет. Ввиду большой распространенности ЖКБ в популяции своевременное распознавание и лечение осложнений калькулезного холецистита является актуальной задачей современной гастроэнтерологии.
Причины
Синдром Бувере возникает в результате обструкции проксимального отдела двенадцатиперстной кишки или привратника желудка крупным желчным конкрементом. Наиболее часто закупорку вызывает одиночный камень диаметром не менее 2,5 см, который мигрирует из желчного пузыря или холедоха в просвет ДПК или желудка через спонтанно сформировавшийся холецистогастральный/ холецистодуоденальный свищ.
Факторы риска
Заболевание развивается у пациентов с желчнокаменной болезнью, имеющих следующие предрасполагающие условия:
- крупные камни в желчном пузыре размером от 2 см до 8 см;
- другие осложнения ЖКБ: рецидивирующие желчные колики, желтуха, острый холецистит (43-68%);
- заболевания ЖКТ: дуоденит, язвенная болезнь желудка и ДПК, пилоростеноз, послеоперационные стриктуры;
- рак желчного пузыря.
Патогенез
Свищевой ход между желчным пузырем и ДПК/желудком, как правило, формируется после приступа острого холецистита. Воспалительный процесс способствует сращению желчного пузыря с 12-перстной кишкой, а повышение внутрипросветного давления и механическая компрессия, оказываемая конкрементами, приводят к локальной ишемии и некрозу в области стенок желчного пузыря и кишечника. В результате формируется желчно-кишечный свищ, через который происходит перемещение крупного конкремента в просвет желудка или 12-перстной кишки.
Холецистодуоденальные свищи формируются в 68% случаев. Холецистоэнтеральные или холецистогастральные свищи составляют 17% и 5% случаев соответственно. Большинство мигрировавших в ЖКТ камней (до 85%) эвакуируются при дефекации или рвоте даже при наличии желчно-кишечного свища. Клинические симптомы желчнокаменной непроходимости возникают при наличии камней большего размера, которые не могут самостоятельно покинуть ЖКТ и обтурируют просвет привратникового отдела либо ДПК.
Симптомы
Проявления синдрома Бувере неспецифичны, зависят от размеров конкремента, места образования свища, уровня обтурации. Чаще всего заболевание сопровождается периодической тошнотой и рвотой съеденной пищей (85%), после которой наступает облегчение. Иногда с рвотными массами могут выделяться желчные камни. Другие частые симптомы, сопутствующие синдрому Бувере, ⎼ вздутие и боль в животе (70%). Локализация болевых ощущений возможна в эпигастральной области или правом подреберье. Из-за постоянной рвоты у пациента могут наблюдаться признаки обезвоживания и потеря веса. Часто развивается механическая желтуха.
Осложнения
При образовании эрозий двенадцатиперстной кишки или чревной артерии может возникнуть желудочно-кишечное кровотечение, сопровождаемое рвотой «кофейной гущей» или меленой. Перфорация желчного пузыря чревата развитием желчного перитонита. Длительная персистенция холецисто-энтеральной фистулы повышает риск возникновения холангита, билиарного панкреатита, желчнокаменной кишечной непроходимости, карциномы желчного пузыря.
Диагностика
Обычно пациенты обращаются за медицинской помощью через 5-7 дней после манифестации симптомов. Физикальный осмотр выявляет сухость слизистых оболочек, вздутие и болезненность живота, звуки перистальтики в верхних отделах ЖКТ, желтушное окрашивание кожных покровов. Для уточнения диагностической гипотезы врачом-хирургом назначается:
- Рентген ОБП. Для синдрома Бувере патогномоничной является рентгенологическая триада Риглера. Она включает аэробилию (признак желчного свища), миграцию желчных камней и тонкокишечную непроходимость. Однако при стандартной рентгенографии брюшной полости симптомокомплекс выявляется менее чем у половины пациентов с пилородуоденальной непроходимостью.
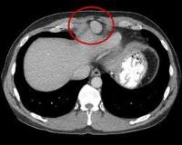
- КТ брюшной полости. Рентгеновская компьютерная томография является предпочтительным методом визуализации с общей чувствительностью 93%, специфичностью 100%. С ее помощью удается выявить билиодигестивную фистулу, определить уровень желчного илеуса, определить состояние желчного пузыря.
- МРТ. Пациентам с сильной рвотой и рентгенонегативными камнями может быть выполняться МР-холангиопанкреатография. МРХП также чувствительна в отношении внутрипротоковых конкрементов и свищей.
- УЗИ. По данным ультрасонография брюшной полости можно получить косвенные сведения о наличии желчного свища и кишечной непроходимости. Основные находки ⎼ наличие газа в желчном пузыре, атипичное расположение камней, увеличение и перерастяжение желудка.
- Эндоскопия ЖКТ. Фиброгастродуоденоскопия позволяет выявить наличие застойного содержимого в желудке, отечность слизистой оболочки, эрозивно-язвенные дефекты в зоне свища. Примерно в 70% исследований удается обнаружить фиксированные конкременты и свищевое отверстие в пилородуоденальной зоне. В ходе ФГДС может быть предпринята попытка удаления желчного конкремента.
- Лабораторные исследования. Примерно у трети пациентов с синдромом Бувере обнаруживается гипербилирубинемия, повышение активности печеночных ферментов. Также может наблюдаться лейкоцитоз, электролитные нарушения, кислотно-щелочной дисбаланс, степень тяжести которых зависит от сопутствующей патологии, интенсивности воспалительной реакции и индивидуальных компенсаторных механизмов.
Примерно в 20-40% случаев диагноз синдрома Бувере устанавливается интраоперационно в ходе эксплоративной лапаротомии по поводу непроходимости тонкой кишки неизвестной этиологии. Прежде всего это касается случаев рентгенонегативных желчных камней, которые не видны на компьютерной томографии.
Дифференциальная диагностика
Синдром Бувере приходится дифференцировать от обструкции выходного отверстия желудка инородными телами, безоарами, дивертикулами, опухолями. При выраженном болевом синдроме исключают почечную колику, перфорацию язвы желудка и ДПК, острый панкреатит, аппендицит, правостороннюю плевропневмонию. Также дифдиагностику проводят с другими видами желчных свищей: холецистотонкокишечными, холецистотолстокишечными, синдромом Мириззи.
Лечение синдром Бувере
Эндоскопическое лечение
Вероятность самопроизвольного устранения пилородуоденальной обструкции на фоне консервативного лечения невелика. Кроме того, смещенный камень может обтурировать дистальные отделы тонкого кишечника, поэтому эндоскопическое вмешательство в настоящее время является первой линией лечения синдрома Бувере.
Перед эндоскопической процедурой выполняют декомпрессию растянутого желудка с помощью назогастрального зонда, чтобы снизить риск аспирации. При конкрементах размером более 2-3 см эндоскопическому удалению предшествует механическая, электрогидравлическая, лазерная, ударно-волновая литотрипсия. Литоэкстракцию осуществляют с помощью эндоскопических захватов, сеток, корзин. Однако вероятность успеха при этом значительно ниже, чем при хирургическом вмешательстве (43% против 94,1%).
Хирургическое лечение
Хирургический подход заключается в проведении открытой или лапароскопической гастротомии, пилоротомии, дуоденотомии отдельно или в комбинации с одновременной или последующей холецистэктомией и пластикой фистулы. После извлечения конкремента необходимо осмотреть дистальный отдел тонкой кишки, чтобы убедиться в отсутствии других крупных камней, которые могут привести к послеоперационной кишечной непроходимости. Интраоперационная гастродуоденоскопия может быть использована в качестве дополнительного метода, помогающего переместить камень в более подходящее место, если во время операции он обнаружен в труднодоступной для удаления области.
Вопрос о необходимости холецистэктомии и ликвидации холецистодигестивного свища, а также сроки выполнения этих вмешательств при синдроме Бувере остаются предметом дискуссий. Часть абдоминальных хирургов придерживается мнения, что вмешательство следует ограничить гастро- или дуоденолитотомией. Другие указывают на целесообразность симультанной холецистэктомии с удалением свища у молодых пациентов, тогда как у возрастных больных с сопутствующими заболеваниями следует отдавать предпочтение поэтапному лечению. Некоторым пациентам может потребоваться пилоропластика, гастроэнтеростомия и другие дополнительные вмешательства.
Прогноз и профилактика
Синдром Бувере имеет благоприятный прогноз при условии своевременной диагностики и лечения. Комбинация современных высокотехнологичных и малоинвазивных методов позволила снизить смертность с 30% до 12%. Высокая вероятность неблагоприятного исхода отмечается у комирдных и пожилых пациентов, составляющих большинство. Для оптимизации результатов лечения в каждом случае необходима разработка индивидуальной стратегии, адаптированной к состоянию пациента.
Профилактика синдрома Бувере заключается в своевременном хирургическом лечении ЖКБ и сопутствующих состояний. Повышенная осведомленность и настороженность в отношении данного осложнения со стороны медицинских работников способствует дополнительному снижению заболеваемости и летальности.
|
Литература
1. Осложнение желчнокаменной болезни: синдром Бувере/ О. Васнев, Р. Израилов, А. Белоусов// Врач. – 2016 (10). 2. Синдром Бувэрэ - редкое осложнение калькулезного холецистита/ Герич Д. И., Герич И. Д., Ващук В. В.// Новости хирургии. – 2005. 3. Диагностика и лечение синдрома Бувере (обзор литературы)/ Бебуришвили А.Г, Панин С.И., Пузикова А.В. // Вестник Волгоградского государственного медицинского университета. – 2019. 4. Синдром Бувере. Клиническое наблюдение эндоскопически ассистированной мини-лапаротомной операции/ Бебуришвили А.Г., Панин С.И., Савицкая А.В., Постолов М.П.// Вестник Волгоградского государственного медицинского университета. – 2016. |
Код МКБ-10
К56.3 |
| Процедуры и операции | Средняя цена |
| Гастроэнтерология / Диагностика в гастроэнтерологии / УЗИ в гастроэнтерологии | от 30 р. 2820 адресов |
| Гастроэнтерология / Диагностика в гастроэнтерологии / УЗИ в гастроэнтерологии | от 112 р. 2316 адресов |
| Гастроэнтерология / Диагностика в гастроэнтерологии / Эндоскопия в гастроэнтерологии | от 30 р. 1305 адресов |
| Хирургия / Консультации хирургов | от 64 р. 1265 адресов |
| Гастроэнтерология / Диагностика в гастроэнтерологии / Рентгенография в гастроэнтерологии | от 350 р. 924 адреса |
| Диагностика / Компьютерная томография (КТ) / КТ внутренних органов | от 80 р. 852 адреса |
| Гастроэнтерология / Операции на желчном пузыре / Удаление желчного пузыря | 85299 р. 276 адресов |
| Гастроэнтерология / Диагностика в гастроэнтерологии / Томография в гастроэнтерологии | от 578 р. 266 адресов |
| Гастроэнтерология / Операции на желчном пузыре / Удаление желчного пузыря | 53669 р. 225 адресов |
| Гастроэнтерология / Диагностика в гастроэнтерологии / Рентгенография в гастроэнтерологии | от 575 р. 185 адресов |
Комментарии к статье
Вы можете поделиться своей историей болезни, что Вам помогло при лечении синдрома Бувере.


