Троакарная грыжа
Троакарная грыжа – это выпячивание органов брюшной полости через отверстие, созданное троакаром во время лапароскопической операции. Развитию болезни способствуют нарушения техники хирургического вмешательства, местные послеоперационные осложнения, повышение давления в полости брюшины, избыточный вес. Основные симптомы: видимое и/или пальпируемое выпячивание стенки живота, абдоминальные боли, диспепсические нарушения. Диагностику проводят по данным УЗИ органов живота, обзорной и контрастной рентгенографии, компьютерной томографии. Лечение хирургическое: плановое или экстренное грыжесечение, пластика грыжевых ворот сетчатым трансплантатом.
Общие сведения
Лапароскопическая хирургия занимает уверенные позиции среди всех видов оперативного вмешательства благодаря малоинвазивности, хорошему косметическому результату, сокращению реабилитационного периода. Однако проведение таких манипуляций сопряжено с рядом осложнений, одним из которых выступает послеоперационная троакарная грыжа. Ее частота варьирует от 1% до 32% в зависимости от типа операции и применяемых диагностических критериев. Такое осложнение ухудшает качество жизни пациента, требует особых подходов к лечению и профилактике.
Причины
Любое хирургическое вмешательство на органах живота сопряжено с риском образования грыжи. Послеоперационный рубец представляет собой слабое место передней брюшной стенки, через который может выпячиваться грыжевой мешок с содержимым. При троакарной грыже непосредственной причиной патологии выступает маленький шрам на месте установки троакара – полой трубки диаметром 10-20 мм, через которую вводятся лапароскопические инструменты.
Несмотря на высокую распространенность проблемы в практической хирургии, специфические факторы риска пока недостаточно изучены. Основную роль в развитии заболевания играют местные изменения в брюшной стенке – нарушение целостности мышц, которые в норме формируют защитный каркас и поддерживают правильное положение внутренних органов. На вероятность образования троакарной грыжи влияют:
- Особенности проведения операции. Патология формируется при неаккуратном расширении разреза для удаления органа, неправильном ушивании слоев брюшной стенки. Риск развития болезни прямо пропорционален размеру троакара: при введении порта диаметром 20 мм грыжа возникает в 25 раз чаще, чем при применении инструмента диаметром 10 мм.
- Послеоперационные осложнения. Троакарная грыжа зачастую возникает после гематомы, серомы или нагноения в области введения троакара. Эти патологические процессы замедляют регенерацию тканей, способствуют образованию крупного дефекта, значительно превышающего размер первоначального разреза.
- Конституциональные факторы. У людей с ожирением (ИМТ более 30) троакарные грыжи встречаются чаще из-за ослабления передней стенки живота и повышения внутрибрюшного давления. Развитию патологии способствует пожилой возраст, женский пол, наличие врожденной дисплазии соединительной ткани.
- Сопутствующие заболевания. Грыжевое выпячивание чаще возникает при состояниях, повышающих внутрибрюшное давление. К ним относят хронические запоры при заболеваниях ЖКТ, хронический кашель при бронхолегочной патологии, задержку мочи у мужчин с доброкачественной гиперплазией предстательной железы.
Патогенез
В механизме развития заболевания участвуют производящие факторы, которые провоцируют резкое одномоментное или умеренное длительное повышение внутрибрюшного давления. При этом органы живота начинают выпячиваться через искусственно образованное слабое место брюшной стенки. Троакарная грыжа состоит из грыжевого мешка – участка париетальной серозной оболочки, который проходит через мышечно-апоневротический слой и оказывается под кожей.
В структуре грыжевого мешка выделяют устье – место входа в брюшную полость, шейку – самую узкую часть, находящуюся в толще стенки живота, и дно – основной отдел, содержащий разные органы. На начальных этапах болезни наружная стенка тонкая и гладкая, но со временем она утолщается и покрывается спайками. Содержимое троакарной грыжи определяется ее размерами и локализацией. Чаще всего внутрь мешка попадают подвижные органы – сальник и петли кишечника.
Симптомы троакарной грыжи
Послеоперационное осложнение формируется в срок от нескольких месяцев до 10 лет после перенесенного хирургического вмешательства, но в большинстве случаев манифестирует в течение первых двух лет. Время появления троакарной грыжи зависит от типа операции. После лапароскопической холецистэктомии грыжевое выпячивание диагностируют в течение первых 3-х месяцев, после аппендэктомии – через 3-6 месяцев, после гинекологических операций – через полгода и более.
Основной признак неосложненной формы троакарной грыжи – небольшое выпячивание в области послеоперационного рубца. Оно имеет эластическую консистенцию, легко смещается, вправляется в брюшной полость самостоятельно или с помощью пальцев руки. Выпячивание увеличивается в положении стоя, при физических нагрузках и натуживании в туалете, а в положении лежа на спине становится менее заметным или полностью исчезает.
Троакарная грыжа сопровождается дискомфортом и умеренными болями в животе. Многих пациентов беспокоят хронические запоры, вздутие живота, тошнота, отрыжка. Если в грыжевой мешок попадает часть мочевого пузыря, возникают боли и затруднения при мочеиспускании. При покашливании удается определить синхронные толчки органов внутри выпячивания, что указывает на наличие послеоперационной грыжи и ее неосложненный характер.
Осложнения
Наиболее распространенное и опасное последствие нелеченого заболевания – ущемление троакарной грыжи. В грыжевых воротах сдавливается петля кишечника или другой орган, в результате чего быстро нарастают явления ишемии и некроза. Без своевременной помощи ситуация осложняется флегмоной, перитонитом, механической кишечной непроходимостью. Иногда встречаются нестандартные виды ущемления: ретроградное, пристеночное, грыжа Литтре.
При травме живота или попытке самостоятельного вправления органов существует риск повреждения грыжи. При разрыве полых органов возникает каловый или мочевой перитонит – крайне тяжелые и жизнеугрожающие формы воспаления брюшины. У пожилых пациентов заболевание зачастую осложняется атонией кишечника и копростазом. Изредка встречается серозно-фибринозное или гнойное воспаление грыжи, вызванное частыми вправлениями, ношением бандажа.
Диагностика
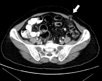
Постановка диагноза троакарной грыжи – задача врача-хирурга. При осмотре обращают внимание на наличие пальпируемого выпячивания, возможность его вправления в брюшную полость, наличие симптома кашлевого толчка, размеры грыжевых ворот. У тучных людей пальпация грыжи затруднена, поэтому отсутствие физикальных признаков не позволяет исключить такой диагноз. Для комплексного обследования пациентов применяются инструментальные методы диагностики:
- УЗИ органов брюшной полости. Сонография – базовый метод визуализации, который показывает наличие грыжевого мешка, его размеры и содержимое. С помощью ультразвука оценивают состояние всех органов живота, исключают осложнения троакарной грыжи и сопутствующие заболевания.
- Рентгенография ОБП. Исследование с пероральным контрастированием проводят для диагностики содержимого грыжи и оценки проходимости кишечника. Обзорная рентгенография помогает выявить перитонит и другие осложнения. Для верификации диагноза в нестандартных клинических ситуациях используют КТ брюшной полости.
Дифференциальная диагностика
Распознавание болезни не представляет затруднений ввиду наличия рубца в области выпячивания и анамнестических сведений о проведенной лапароскопии. Дифференциальную диагностику проводят с другими видами грыж: паховой, пупочной, белой линии живота. Троакарную грыжу также следует отличать от мягкотканных опухолей: липомы, фибромы, рабдомиомы, злокачественных новообразований.
Лечение троакарной грыжи
Оперативное вмешательство – единственный способ радикального устранения грыжевого выпячивания. При неосложненной форме заболевания назначают плановую операцию, во время которой вправляют органы в полость живота и закрывают грыжевые ворота собственными тканями пациента или аллотрансплантатами. Благодаря применению синтетических сетчатых материалов удается значительно улучшить результат герниопластики и сократить число рецидивов.
При осложненной троакарной грыже необходимо экстренное хирургическое вмешательство по жизненным показаниям. С учетом характера осложнений может потребоваться иссечение некротизированных фрагментов тканей, резекция петли кишечника, санация брюшной полости. При перитоните и флегмоне грыжевого мешка показана двухэтапная операция с отложенной герниопластикой, поскольку первичная пластика чревата гнойно-воспалительными осложнениями.
Прогноз и профилактика
Троакарные грыжи успешно поддаются хирургическому лечению и демонстрируют низкий процент рецидивов при правильном проведении герниопластики. Заболевание имеет благоприятный прогноз. При осложненном течении болезни исход зависит от своевременности обращения пациента за помощью и сроков выполнения операции. Профилактика послеоперационных троакарных грыж включает усовершенствование техники лапароскопии, тщательное ушивание разрезов, ликвидацию общих факторов риска.
|
Литература
1. Абдоминальная хирургия. Национальное руководство. Краткое издание/ под ред акад. РАН И.И. Затевахина, акад. РАН А.И. Кириенко, акад. РАН В.А. Кубышкина. – 2017. 2. Троакарные грыжи и методы их профилактики/ Ф.А. Акилов, С.А. Касумьян, А.Ю. Некрасов// Эндоскопическая хирургия. – 2012. – №5. 3. Факторы риска формирования троакарных грыжи после лапароскопической холецистэктомии (обзор литературы)/ А.А. Баженов, Б.Б. Капустин// Современные проблемы науки и образования. – 2023. – №2. 4. Троакарные грыжи – более распространенная проблема, чем мы привыкли думать/ В.А. Горский и соавт.// Доказательная гастроэнтерология. – 2022. – №4. |
Код МКБ-10
K43.0 |
| Процедуры и операции | Средняя цена |
| Гастроэнтерология / Диагностика в гастроэнтерологии / УЗИ в гастроэнтерологии | от 30 р. 2815 адресов |
| Хирургия / Консультации хирургов | от 64 р. 1361 адрес |
| Гастроэнтерология / Диагностика в гастроэнтерологии / Рентгенография в гастроэнтерологии | от 350 р. 893 адреса |
| Диагностика / Компьютерная томография (КТ) / КТ внутренних органов | от 80 р. 838 адресов |
| Диагностика / МРТ / МРТ внутренних органов | от 100 р. 628 адресов |
| Гастроэнтерология / Диагностика в гастроэнтерологии / Рентгенография в гастроэнтерологии | от 423 р. 195 адресов |
| Хирургия / Хирургия грыж (герниология) / Герниопластика | 75979 р. 162 адреса |
| Проктология / Диагностика в проктологии / Рентгенография в проктологии | от 369 р. 119 адресов |
| Хирургия / Гнойная хирургия / Операции при перитоните | 15243 р. 89 адресов |
| Гастроэнтерология / Операции на тонком кишечнике / Резекция тонкой кишки | 59510 р. 22 адреса |
Комментарии к статье
Вы можете поделиться своей историей болезни, что Вам помогло при лечении троакарной грыжи.


