Болезнь Альперса (Синдрома Альперса-Хуттенлохера)
Болезнь Альперса — это редкое митохондриальное заболевание, которое характеризуется прогрессирующей энцефалопатией в сочетании с циррозом печени. Патология возникает вследствие мутации ДНК гамма-полимеразы (POLG1). Синдром проявляется эпилептическими приступами, угнетением психомоторных функций, токсическим поражением печени. Для диагностики используется ЭЭГ, МР-сканирование головного мозга, УЗИ печени, а также лабораторные исследования (биохимический анализ крови, коагулограмма, генетический тест). Терапия поддерживающая: антиконвульсанты, метаболические препараты, парентеральное питание.
Общие сведения
Заболевание было впервые описано Б. Альперсом в 1931 г. у 4-месячной девочки с резистентными эпилептическими приступами. В 1976 г. П.Хуттенлохер уточнил характер наследования патологии, дополнил описание клинической картины. Частота встречаемости синдрома Альперса-Хуттенлохера составляет 1 случай на 100000 живорожденных детей. Болезнь отличается неблагоприятным течением, быстрым ухудшением состояния пациентов, присоединением соматических заболеваний, поэтому, несмотря на редкость, она не теряет актуальности в современной неврологии.
Причины
Болезнь Альперса обусловлена мутацией гена POLG1 (в локусе 15q25), который отвечает за функционирование гамма-полимеразы в митохондриях. Самые распространенные генные дефекты — A467T и W748S. Заболевание наследуется по аутосомно-рецессивному механизму, поэтому вероятность повторения патологии составляет 25% при следующей беременности. Риск развития синдрома повышается при близкородственных браках, другие предрасполагающие факторы не установлены.
Патогенез
Молекулярную основу заболевания составляет недостаточность гамма-полимеразы — единственной эукариотической ДНК-полимеразы, поддерживающей репликацию ДНК в митохондриях. При синдроме Альперса уровень репликации генетического материала снижается до критического, ухудшается активность митохондриальных ферментов. Дефицит АТФ сказывается на наиболее энергозависимых структурах — органах центральной и периферической нервной системы, печени, ЖКТ.
При болезни Альперса первыми поражаются проводники глубокой чувствительности, расположенные в задних столбах спинного мозга, также нарушаются функции мозжечка. Вовлечение в процесс коры обусловлено патологической электрической активностью в головном мозге. Резистентные к препаратам судорожные приступы обычно провоцируют склероз гиппокампа.
Симптомы болезни Альперса
Типичный возраст манифестации заболевания — от 2 до 4 лет, хотя описаны случаи раннего (3-4 месяца) и позднего начала болезни (до 8 лет). Для синдрома Альперса характерно бимодальное распределение, второй пик приходится на период 17-24 года. До появления первых клинических признаков дети имеют нормальное психомоторное развитие, достаточный уровень интеллекта. После старта неврологической симптоматики происходит резкий регресс ранее приобретенных навыков.
В половине случаев болезнь Альперса манифестирует судорожными приступами. Это могут быть фокальные судороги, миоклонические формы (ритмичные мышечные подергивания без спазмов мускулатуры), генерализованные тонико-клонические судороги, которые называют «большим эпилептическим пароксизмом». У детей первые приступы часто провоцируются фебрильной лихорадкой при инфекционных заболеваниях.
Синдром Альперса характеризуется множественными неврологическими нарушениями. У больных наблюдается шаткость походки, дискоординация движений, расстройства мелкой моторики. Сенсорная полинейропатия проявляется нарушением всех видов чувствительности, парестезиями. Как правило, возникают расстройства зрения (корковая слепота). Беспокоят мигренозные головные боли, в том числе как компонент ауры судорожных приступов.
Важным симптомом болезни является поражение печени. Клинически это проявляется тошнотой, ухудшением аппетита, нарушениями пищеварения. Зачастую больной испытывает слабость, сонливость, у него усугубляется неврологический дефицит. При угнетении синтеза печеночных факторов свертывания открываются спонтанные кровотечения из носа, десен, легких или желудочно-кишечного тракта.
Осложнения
Наиболее опасное последствие синдрома Альперса — фатальный токсический гепатит, который возникает при приеме препаратов из группы вальпроевой кислоты, купирующих судорожные приступы. При этом развивается тяжелая печеночная недостаточность, из-за чего пациенты погибают на протяжении 2-4 месяцев, независимо от проводимого лечения. Поражение гепатобилиарной системы может проявляться изменением архитектоники желчных путей, фиброзом печени.
При прогрессировании заболевания на фоне мышечной гипотонии развивается дисфагия, нарушения перистальтики ЖКТ. Возникает необходимость во введении желудочного зонда или использовании парентерального питания. Изредка поражение пищеварительной системы дополняется панкреатитом. У 10% больных развивается кардиомиопатия, результирующая тяжелой сердечной недостаточностью.
Диагностика
При первичном приеме у детского невролога выявляется атипичная эпилептическая энцефалопатия, которая требует обязательного подтверждения или исключения болезни Альперса. К обследованию больного привлекают генетика, гепатолога, кардиолога. Учитывая полиморфность клинических проявлений, для верификации диагноза назначаются инструментальные и лабораторные методы исследования:
- ЭЭГ. В начале болезни определяется биполярная или гомолатеральная эпилептическая активность в виде спайков и полиспайков. Для периода разгара синдрома Альперса типична диффузная медленная активность преимущественно в областях затылка с региональными акцентами в височно-теменных зонах мозга.
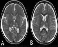
- МРТ головного мозга. На снимках визуализируются зоны умеренного гиперинтенсивного сигнала в затылочных областях церебральной коры. Для резистентных приступов характерно появление участков повышенной интенсивности в таламусе, продолговатом мозге. В базальных ганглиях, стволе мозга и мозжечке визуализируется прогрессирующая атрофия.
- УЗИ брюшной полости. При токсическом гепатите отмечается умеренное увеличение печени, снижение эхогенности ее паренхимы. Для уточнения характера патологии производится биопсия органа, по результатам которой выявляется жировая инфильтрация гепатоцитов, пролиферация желчных протоков, а при длительном существовании болезни — фиброз печени.
- Исследования крови. В биохимическом анализе крови определяется гипогликемия, повышение уровня трансаминаз. На развитие печеночной недостаточности указывает гипербилирубинемия, гипераммониемия, гипоальбуминемия. При оценке коагулограммы снижен протромбиновый индекс.
- Генетический анализ. При подозрении на синдром Альперса проводится полный анализ гена POLG1 методом автоматического секвенирования. Верификация диагноза возможна при обнаружении одной из 60 известных на сегодня мутаций. Изредка тест дополняют измерением числа копий митохондриальной ДНК.
Лечение болезни Альперса
Консервативная терапия
Сложность оказания медицинской помощи страдающим болезнью Альперса связана с отсутствием эффективных этиопатогенетических медикаментов. Лечащим врачом индивидуально для пациента подбирается симптоматическая терапия, которая корректирует неврологические нарушения, стабилизирует параметры гомеостаза. Лечение проводится в неврологических или реанимационных отделениях, применяются следующие группы препаратов:
- Антиоксиданты из группы витаминоподобных веществ. Обладают положительным анаболическим эффектом, улучшают метаболические показатели. Кроме того, являются единственными средствами, позволяющими купировать вальпроат-индуцированную печеночною недостаточность.
- Антиконвульсанты. Для устранения эпилептических пароксизмов рекомендованы современные противосудорожные медикаменты из групп сульфат-замещенных моносахаридов и ламотриджинов, которые не вызывают токсический гепатит. При их неэффективности используются лекарства старшего поколения (барбитураты, бензодиазепины).
- Инфузионные растворы. Для коррекции водно-электролитного обмена назначаются кристаллоидные растворы, по показаниям проводятся вливания препаратов глюкозы, аминокислотных смесей для поддержания адекватного уровня энергетического обмена.
Паллиативная помощь
Поскольку болезнь всегда заканчивается смертью пациента, необходимо обеспечить полноценный уход и медицинскую помощь на терминальном этапе заболевания. Лечение предполагает внутривенную гидратацию и введение питательных смесей, купирование судорог, устранение гипоксии путем гипербарической оксигенации, кислородной поддержки, ИВЛ. В рамках паллиатива проводится социальная и психологическая помощь членам семьи больного.
Прогноз и профилактика
Болезнь Альперса имеет неблагоприятное прогредиентное течение, смерть наступает в течение 3-4 лет от манифестации клинической симптоматики. Комплексная медицинская помощь облегчает состояние пациентов, однако пока не существует способов вылечить болезнь. Основным методом первичной профилактики является медико-генетическое консультирование семейных пар с отягощенной наследственностью.
Решающее значение во вторичной профилактике болезни имеет контроль показателей крови во время лечения больных с эпилепсией с помощью препаратов вальпроевой кислоты. При повышении показателей печеночных проб и снижении уровня тромбоцитов неврологи должны предполагать возможность митохондриальной патологии, своевременно направлять пациента на консультацию в генетический центр.
|
Литература
1. Синдром Альперса-Хуттенлохера во врачебной практике/ М.И. Душар, Г.Р. Акопян, Л.И. Волос, О.Я. Ковалюк// Современная педиатрия. — 2019. — №5. 2. Синдром Альперса-Хуттенлохера/ Т.Т. Батышева, В.М. Трепилец, Л.Я. Ахадова, Г.С. Голосная// Эпилепсия и пароксизмальные состояния. — 2015. — №1. 3. Эпилепсия у детей с митохондриальными заболеваниями: особенности диагностики и лечения/ Н.Н. Заваденко, А.А. Холин// Эпилепсия и пароксизмальные состояния. — 2012. — №2. |
Код МКБ-10
G31.8 |
| Процедуры и операции | Средняя цена |
| Гастроэнтерология / Диагностика в гастроэнтерологии / УЗИ в гастроэнтерологии | от 30 р. 2825 адресов |
| Гастроэнтерология / Диагностика в гастроэнтерологии / УЗИ в гастроэнтерологии | от 100 р. 2214 адресов |
| Неврология / Диагностика в неврологии / ЭФИ нервно-мышечной системы | от 226 р. 1579 адресов |
| Неврология / Диагностика в неврологии / МРТ в неврологии | от 90 р. 953 адреса |
| Педиатрия / Детская неврология / Консультации в детской неврологии | от 30 р. 468 адресов |
| Хирургия / Анестезия и реанимация / Сердечно-легочная реанимация и ИТ | 10221 р. 32 адреса |
| Хирургия / Анестезия и реанимация / Сердечно-легочная реанимация и ИТ | 1692 р. 11 адресов |
| Хирургия / Госпитализация | 13364 р. 4 адреса |
| Терапия / Процедурный кабинет | 5874 р. 2343 адреса |
| Гастроэнтерология / Диагностика в гастроэнтерологии / Диагностические операции в гастроэнтерологии | 13362 р. 220 адресов |
Комментарии к статье
Вы можете поделиться своей историей болезни, что Вам помогло при лечении болезни Альперса.
