Карциноматозный менингит (карциноматоз мозговых оболочек, неопластический менингит)
Карциноматозный менингит — поражение мозговых оболочек метастазами раковой опухоли. Происходит при диссеминации опухолевых клеток, носит мелкоочаговый диффузный характер. Клинически проявляется симптоматикой менингита с дисфункцией черепных нервов, расстройством сознания. Карциноматозный менингит диагностируется по результатам анализа цереброспинальной жидкости, данным церебральной МРТ. Лечение паллиативное: симптоматическое (противорвотные, диуретики, антиконвульсанты, глюкокортикостероиды), химиотерапевтическое (метотрексат), лучевое.
Общие сведения
Название «карциноматоз» обозначает метастазирование карциномы. Однако в русскоязычной литературе по неврологии и онкологии термином «карциноматозный менингит» принято обозначать все метастатические раковые поражения церебральных оболочек. Синонимичными названиями являются неопластический менингит, лептоменингеальные метастазы, карциноматоз церебральных оболочек. Метастазы в оболочки мозга наблюдаются в 5-8% случаев всех злокачественных опухолей. Наиболее часто в оболочки метастазируют меланомы и бронхогенные карциномы. У 50% пациентов манифестация менингита выступает первым клиническим проявлением диссеминации онкологического процесса. В отдельных случаях карциноматозный менингит опережает даже появление клинической симптоматики, обусловленной первичной раковой опухолью.
Причины карциноматозного менингита
Источником метастазов выступают различные по локализации и гистологическому типу злокачественные новообразования. Первичным очагом чаще является рак лёгких, карцинома бронха, рак молочной железы, меланома, реже — рак желудка, гепатоцеллюлярная карцинома, рак почки. Опухолевые клетки первичного образования попадают в церебральные оболочки с током крови. Обычно происходит многоочаговое поражение, имеющее распространённый характер или ограниченное определённым участком. В половине случаев карциноматозный менингит сочетается с одновременным образованием метастазов в веществе головного мозга, у 65% онкобольных — с метастазированием во внутренние органы.
Патогенез
Попавшие в церебральные оболочки раковые клетки размножаются в тканях оболочек, лептоменингеальном пространстве. Раздражение оболочек обуславливает возникновение классического менингеального синдрома. Образование метастатических очагов в подоболочечном пространстве, заполненном цереброспинальной жидкостью (ликвором), приводит к нарушению ликвороциркуляции, возникает внутричерепная гипертензия. В результате затруднения ликворооттока формируется гидроцефалия. Нарастающее повышение внутричерепного давления вызывает развитие жизнеугрожающих осложнений: отёка церебрального вещества, дислокацию мозговых структур.
Симптомы карциноматозного менингита
В типичных случаях происходит постепенное усугубление неврологической симптоматики. Базовые клинические проявления: головная боль, тошнота, нарушения функции черепно-мозговых нервов, расстройства сознания, эпилептические пароксизмы, атаксия. Головная боль интенсивная, сопровождается рвотой, не зависящей от приёма пищи, не приносящей облегчения больному. Возможны глазодвигательные нарушения, парез лицевого нерва, затруднения глотания, изменение голоса (дисфония) и речи (дизартрия).
Преходящее психомоторное возбуждение сменяется вялостью, сонливым состоянием. При сопутствующем внутримозговом поражении возникает соответствующая очаговая симптоматика. Менингеальный синдром помимо интенсивной цефалгии проявляется гиперестезией (повышенной чувствительностью к звукам, свету, прикосновениям), тоническими феноменами: ригидностью (тоническим напряжением) затылочных мышц, вынужденной позой больного с согнутыми и приведёнными к туловищу конечностями, запрокинутой назад головой.
Осложнения
Прогрессирующий карциноматозный процесс обуславливает тяжёлые нарушения сознания вплоть до комы. Нарастающая интракраниальная гипертензия, гидроцефалия осложняются развитием отёка головного мозга. В результате масс-эффекта происходит смещение церебральных структур в направлении большого затылочного отверстия. Возникает опасность сдавления церебрального ствола, расположенных в нём жизненно важных регуляторных центров: сердечно-сосудистого, дыхательного. Последнее осложнение зачастую является причиной гибели пациента.
Диагностика
Диагностировать карциноматозный менингит непросто, поскольку его симптоматика сходна с менингитами другой этиологии. Клиника, имитирующая оболочечный карциноматозный процесс, возникает у онкобольных вследствие развития паранеопластического синдрома, дисметаболических нарушений, обусловленных раковым поражением внутренних органов. В ряде случаев неврологическая симптоматика выступает осложнением химиотерапевтического и радиологического лечения первичного опухолевого очага. Поэтому диагноз не может устанавливаться неврологом исключительно по клиническим признакам. Необходимы следующие дополнительные исследования:
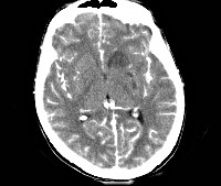
- МРТ головного мозга. Диагностирует гидроцефалию, при наличии масс-эффекта — смещение мозговых структур. Определяет повышение плотности оболочек, наличие в них мелких очагов. Более информативна МРТ с контрастированием, позволяющая выявить накопление контраста в оболочечных тканях, субарахноидальных пространствах.
- Люмбальная пункция. Проводится для забора ликвора только после исключения отёка и дислокации по данным МРТ. Исследование цереброспинальной жидкости обнаруживает повышение концентрации белка без наличия воспалительных изменений. Выявление раковых клеток при первой пункции достигает 45-50%. В случае отрицательного результата проводятся повторные пункции, помогающие определить наличие злокачественных клеток ещё у 40% пациентов.
Отсутствие возможности томографической нейровизуализации диктует необходимость проведения эхоэнцефалографии. Обследование не позволяет установить топику и генез поражения, но даёт возможность оценить степень внутричерепной гипертензии, выявить дислокационный синдром. Дифференцировать карциноматозный менингит следует с оболочечной формой нейролейкоза, инфекционными менингитами, менингоэнцефалитами.
Лечение карциноматозного менингита
Поскольку менингеальные метастазы являются результатом раковой диссеминации, возможна лишь паллиативная терапия. Она состоит в лечении цитостатическими химиопрепаратами, радиотерапии и комбинации этих методик.
- Химиотерапия. В качестве препарата выбора хорошо зарекомендовал себя метотрексат. Параллельно с системной химиотерапией может выполняться локальное введение цитостатика, осуществляемое эндолюмбально или путём пункции желудочков.
- Радиотерапия. Необходимо облучение всего головного мозга. Рекомендуемая суммарная доза 30-40 Гр. Лечение проводится отдельными процедурами в течение 2-4 недель.
С учетом клинических проявлений осуществляется симптоматическая терапия. Для купирования рвоты используются противорвотные препараты, для понижения внутричерепного давления — мочегонные, профилактика отёка мозга осуществляется комбинацией мочегонных с кортикостероидами. Судорожный синдром является показанием к назначению антиконвульсантов, при психомоторном возбуждении необходимо введение седативных препаратов.
Прогноз и профилактика
При отсутствии терапии карциноматозный менингит в течение двух месяцев становится причиной гибели больного. Корректное паллиативное лечение способно привести к временной частичной ремиссии, продлить жизнь пациентов в среднем до 6 месяцев. Длительность жизни более 12 месяцев со времени диагностирования заболевания наблюдалась лишь у 15% больных. 50% летальных исходов связаны с поражением ЦНС, 50% – с патологией внутренних органов. Большое профилактическое значение имеет онконастороженность пациентов и врачей, поскольку предупредить карциноматозный процесс можно путем своевременного выявления и радикального лечения первичного новообразования.
|
Код МКБ-10
C70 |
| Процедуры и операции | Средняя цена |
| Неврология / Консультации в неврологии | от 30 р. 2195 адресов |
| Неврология / Диагностика в неврологии / МРТ в неврологии | от 90 р. 949 адресов |
| Онкология / Консультации в онкологии и гематологии | от 33 р. 888 адресов |
| Неврология / Диагностика в неврологии / УЗИ в неврологии | от 152 р. 388 адресов |
| Неврология / Консультации в неврологии | от 1000 р. 201 адрес |
| Диагностика / МРТ | от 3100 р. 90 адресов |
| Онкология / Консультации в онкологии и гематологии | от 1500 р. 35 адресов |
| Онкология / Противоопухолевая терапия / Химиотерапия | 12205 р. 32 адреса |
| Онкология / Противоопухолевая терапия / Химиотерапия | 18257 р. 22 адреса |
| Онкология / Противоопухолевая терапия / Лучевая терапия | 9892 р. 13 адресов |
Комментарии к статье
Вы можете поделиться своей историей болезни, что Вам помогло при лечении карциноматозного менингита.
