Саркома легкого
Саркома легкого – крайне агрессивная злокачественная опухоль, развивающаяся из незрелых соединительнотканных элементов легкого. Симптомы саркомы легкого аналогичны проявлениям рака легкого, но отличаются более бурным прогрессированием. Субъективные симптомы могут включать одышку, кашель, нарушение глотания, лихорадку, сильную утомляемость, потливость. Часто выявляется синдром верхней полой вены, плеврит, перикардит, пневмония, остеоартропатия. В диагностических целях проводится рентген, КТ и МРТ легких, бронхоскопия, тонкоигольная биопсия и др. Для лечения саркомы легкого используются хирургические методы (радикальные и паллиативные), химиотерапия, радиотерапия.
Общие сведения
Саркома легкого – высокозлокачественная опухоль легкого мезодермального происхождения, источником которой обычно служат соединительнотканные структуры стенок бронхов и межальвеолярных перегородок. Саркома относится к редким типам злокачественных опухолей легкого, на ее долю приходится 1% всех видов рака легкого. От других злокачественных новообразований саркома легкого отличается стремительным ростом и ранним метастазированием. Чаще поражает молодых мужчин (20-40 лет), однако может развиваться у лиц любого пола и возраста. У детей саркома легкого протекает особенно агрессивно, что связано с возрастной активностью роста соединительной ткани. Поиском оптимальных путей лечения саркомы легкого занимаются онкология и пульмонология.
Причины саркомы легкого
Развитие первичной саркомы легкого может быть инициировано различными факторами. Экспериментально подтверждено, что в этиологии сарком различных локализаций на первый план могут выступать ионизирующая радиация, ультрафиолетовое облучение, химические вещества, задымленность и загрязненность воздуха.
В группу повышенной опасности по возникновению саркомы легкого входят курящие пациенты; работники, контактирующие с производственными канцерогенами (асбестом, анилиновыми красителями, пестицидами и др.); лица, проживающие в промышленных городах с большим содержанием выхлопных газов и сажи в воздухе. Небезопасно злоупотребление загаром, как естественным (под лучами солнца), так и искусственным (в солярии). Доказана роль отягощенной наследственности: при наличии семейных случаев саркомы риск ее проявления у остальных кровных родственников в несколько раз выше.
Вторичное поражение легких может представлять собой метастазы остеогенной саркомы, саркомы матки, саркомы мягких тканей, молочной железы, средостения и др. В большинстве случаев саркома легкого располагается в периферических отделах, поражая верхние доли, но может поражать и все легкое; иногда локализуется в крупных бронхах в виде полиповидных выростов. Опухоль имеет вид массивного узла округлой или полициклической формы, мягковатую консистенцию, бело-розовый цвет на разрезе. Метастазирование саркомы чаще происходит гематогенным путем.
Классификация
По своему происхождению саркома легких делится на первичную (растущую из собственных тканей легкого) и вторичную (метастатическую, распространяющуюся в легкие из отдаленного первичного очага – мышц, костей, гениталий и др.). В гистологическом отношении первичные саркомы легкого могут быть высокодифференцированными (низкой степени злокачественности – с невысокой митотической активностью клеток, большим удельным весом стромальных элементов) и низкодифференцированными (высокой степени злокачественности – с высокой скоростью деления клеток, преобладанием опухолевых элементов, хорошо развитой сосудистой сетью, очагами некроза).
Высокодифференцированные саркомы легких различаются в зависимости от источника бластоматозного процесса и могут быть представлены следующими типами (в порядке убывания частоты):
- ангиосаркома – происходит из стенок кровеносных сосудов
- фибросаркома - образуется из бронхиальной и перибронхиальной соединительной ткани
- лимфосаркома – развивается из лимфоидной ткани
- нейросаркома – поражает соединительнотканные элементы нервной ткани
- хондросаркома – происходит из хрящевых элементов бронхов
- липосаркома – формируется из жировой ткани
- лейомиосаркома и рабдомиосаркома – происходят соответственно из гладкомышечной и поперечно-полосатой мышечной ткани
- гемангиоперицитома – возникает из перицитов - клеток, входящих в состав стенок капилляров.
Недифференцированные саркомы легких делятся на:
- веретеноклеточные
- круглоклеточные
- полиморфно-клеточные.
Стадирование саркомы легкого основано на степени распространенности опухоли и предполагает выделение 4-х стадий:
- I стадия - ограниченный инфильтрат или узел в легком до 3 см в диаметре с отсутствием метастазов;
- II стадия – опухоль размером 3-6 см в диаметре с наличием единичных метастазов в перибронхиальные лимфоузлы и лимфоузлы корня легкого;
- III стадия – опухоль размером более 6 см в диаметре с наличием метастазов в лимфоузлы средостения, инвазией плевры
- IV стадия - опухоль любых размеров в сочетании с отдаленными метастазами.
Симптомы саркомы легкого
Клиническая картина саркомы легкого напоминает клинику рака легкого, но в отличие от последнего развивается более стремительно. Конкретные симптомы определяются стадией, локализацией и гистологическим строением опухоли. При интрабронхиальном типе роста опухоли может возникать обтурация бронха – в этом случае клиническая картина напоминает клинику центрального рака легкого.
В типичных случаях больных беспокоит прогрессирующая одышка, боли в груди, кашель с мокротой и прожилками крови, повышение температуры тела, потливость. Из-за постоянной слабости, быстрой утомляемости, отсутствия аппетита страдает общее самочувствие. При опухолевой инвазии пищевода развивается дисфагия, при компрессии венозных стволов – синдром верхней полой вены. Прорастание плевры сопровождается развитием геморрагического плеврита, наружной оболочки сердца - геморрагического перикардита.
Иногда саркома легкого выявляется при детальном обследовании по поводу затяжной или рецидивирующей пневмонии. В некоторых случаях в клинической картине доминируют не признаки поражения легких, а паранеопластический синдром (легочная остеоартропатия) – периоститы, артриты, суставные боли, деформация пальцев рук. В поздних стадиях развивается раковая интоксикация, раковая кахексия, анемия.
Диагностика
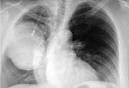
Для подтверждения диагноза проводится консультация онколога и торакального хирурга, уточняются данные анамнеза, назначаются инструментальные обследования. Заподозрить саркому легкого можно по быстрому прогрессированию опухоли у лиц молодого возраста. Ведущее значение в выявлении саркомы легких имеют лучевые методы (рентгенография, КТ легких). На рентгенограммах определяется округлая или овальная тень с неровными краями, которая чаще локализуется в периферических отделах. При динамическом контроле отмечается быстрое увеличение опухоли. КТ и МРТ легких позволяют более детально проанализировать параметры опухоли и произвести стадирование процесса.
При интрабронхиальном росте полиповидная саркома хорошо визуализируется во время бронхоскопии. Она имеет вид бело-розового образования неправильной формы без капсулы. Гистологический диагноз уточняется с помощью эндоскопической биопсии или тонкоигольной трансторакальной биопсии, которая осуществляется под контролем компьютерной томографии. При выявлении экссудативного плеврита целесообразно проведение плевральной пункции с цитологическим исследованием полученного материала. В некоторых случаях при саркоме легкого прибегают к выполнению диагностической торакоскопии или эксплоративной торакотомии.
Дифференциальная диагностика первичной саркомы легкого осуществляется с периферическим раком легкого, метастатическими опухолями, туберкуломой, эхинококкозом и непаразитарными кистами легкого, доброкачественной и злокачественной тимомой.
Лечение саркомы легкого
При выборе рациональной лечебной тактики учитывается стадия саркомы легкого, ее тип и локализация. В операбельных случаях выполняется лобэктомия или пульмонэктомия с лимфаденэктомией. В предоперационном периоде, как правило, назначается курс полихимиотерапии. Лучевая терапия обычно применяется в составе комплексного лечения (дополняет хирургическое и химиотерапевтическое лечение), поскольку саркома легкого менее чувствительна к радиотерапии. Внедряется инновационная технология селективной внутренней радиотерапии (SIRT) – введение радиоизотопов через катетер в сосуды легкого, идущие к опухоли.
Если радикальная резекция невыполнима, возможно проведение паллиативной операции для устранения патологической симптоматики и увеличения краткосрочной выживаемости пациентов. Кроме этого, при неоперабельных опухолях может назначаться химиотерапия отдельно или в сочетании с лучевой терапией, иммунохимиотерапией.
Прогноз
Саркома легких – онкологическое заболевание с потенциально неблагоприятным прогнозом. Отличительной особенностью является склонность к рецидивированию и метастазированию саркомы легкого, что обусловливает низкий процент выживаемости пациентов с данным диагнозом. Пятилетняя выживаемость при начале лечения на первой стадии составляет 50%, на третьей – 20%. При обнаружении первичной саркомы легкого на поздних стадиях или вторичном поражении легкого больные погибают в течение нескольких месяцев.
|
Литература
1. Отдалённые результаты комбинированного лечения метастазов сарком опорно-двигательного аппарата в лёгких/ Стародубцев А.Л., Рагулин Ю.А., Курильчик А.А., Зубарев А.Л., Иванов В.Е., Усачев В.С., Медведев Ф.В.// Злокачественные опухоли. – 2014. 2. Саркома легких: Автореферат диссертации/ Коренев С. В. – 1990. 3. Периферическая узловая саркома легкого: случай из практики и краткицй обзор литературы/ Игнатьева Т.П.// Здравоохранение Чувашии. – 2015 - №2. |
Код МКБ-10
C46.7 |
| Процедуры и операции | Средняя цена |
| Пульмонология / Консультации в пульмонологии | от 33 р. 630 адресов |
| Пульмонология / Диагностика в пульмонологии / Рентгенография в пульмонологии | от 680 р. 334 адреса |
| Пульмонология / Диагностика в пульмонологии / Эндоскопия дыхательных путей | от 500 р. 324 адреса |
| Пульмонология / Диагностика в пульмонологии / Диагностические операции в торакальной хирургии | от 497 р. 302 адреса |
| Пульмонология / Диагностика в пульмонологии / Томография в пульмонологии | от 475 р. 250 адресов |
| Пульмонология / Диагностика в пульмонологии / Диагностические операции в торакальной хирургии | от 2750 р. 104 адреса |
| Пульмонология / Диагностика в пульмонологии / Диагностические операции в торакальной хирургии | от 600 р. 93 адреса |
| Онкология / Консультации в онкологии и гематологии | от 33 р. 872 адреса |
| Пульмонология / Консультации в пульмонологии | от 1000 р. 67 адресов |
| Пульмонология / Операции на легких / Резекции легких | 82542 р. 33 адреса |
