Остеопластическая пневмопатия (Метапластическая оссификация легких, Оссифицирующий пневмонит)
Остеопластическая пневмопатия – это редкое заболевание, при котором в легочной паренхиме, стенке трахеи или бронхов образуются участки оссификации с очагами миелопоэза или без них. Заболевание обычно протекает бессимптомно, иногда сопровождается малопродуктивным кашлем, болью в груди, утомляемостью, одышкой, кровохарканьем, спонтанным пневмотораксом. Диагностика заболевания возможна с помощью КТ легких высокого разрешения, гистологического исследования биоптатов. Терапия симптоматическая, в редких случаях требуется хирургическая резекция легкого.
Общие сведения
Остеопластическая пневмопатия (оссифицирующий пневмонит, метапластическая оссификация легких) – редкая нозология, характеризующаяся присутствием зрелой костной ткани в альвеолярных или интерстициальных пространствах. Впервые была описана немецким анатомом и патологом Х. Лушка в 1856 г. как посмертная находка. В мировой литературе известно около 200 случаев прижизненной диагностики легочной оссификации, хотя частота обнаружения при аутопсии составляет 1,63 случая на 1000 вскрытий. Остеопластическая пневмопатия чаще поражает мужчин (М:Ж - 6: 1) в возрасте 40-60 лет.
Причины
Этиология легочной оссификации остается предметом пристального изучения. В качестве причин рассматриваются генетические и средовые факторы. Остеопластическая пневмопатия возникает первично (идиопатическая) либо вторично (на фоне других заболеваний). Считается, что процесс костеобразования в легочной ткани тесно связан с нарушение перфузии, инфекциями дыхательных путей, хроническим воспалением. Среди состояний, способствующих развитию остеопластической пневмопатии, выделяют:
- Бронхолегочные заболевания: пневмокониозы (асбестоз, антросиликоз, металлокониозы), инфекции (туберкулез, гистоплазмоз, кокцидиоидомикоз), ХНЗЛ (ХОБЛ, бронхоэктазы, организующаяся пневмония), реакции пневмотоксичности (при лечении бусульфаном), прочие (ОРДС, фиброзирующий альвеолит, саркоидоз, трансплантация легкого).
- Кардиологические заболевания: митральный стеноз, аортальный стеноз, хроническая ЛЖН.
- Метаболические нарушения: гиперпаратиреоз, синдром Бернетта, гипервитаминоз D, амилоидоз, гемосидероз.
Факторы риска
В числе потенциальных факторов риска называются состояния, предрасполагающие к хронической аспирации желудочного содержимого и рецидивирующим легочным инфекциям:
- гастроэзофагеальный рефлюкс;
- грыжа ПОД;
- обструктивное апноэ во сне;
- сахарный диабет;
- неврологические заболевания, сопровождающиеся нейрогенной дисфагией (инсульты, болезнь Паркинсона, БАС, деменция и др.).
Патогенез
Механизм легочной оссификации до сих пор неясен. Существует несколько предположений относительно патогенеза заболевания. Согласно одной из гипотез, эктопическое костеобразование в легких стимулируют мутации в транскрипционных факторах, регулирующих костные морфогенетические белки (BMPs).
Другая теория предполагает, что патологические изменения развиваются в условиях низкого рН и нехватки кислорода, когда фибробласты и макрофаги легких подвергаются метаплазии в остеобласты и остеокласты. Это подтверждается тем фактом, что оссификация первично возникает в нижних долях ⎼ области с более низким соотношением вентиляции и перфузии, что приводит к снижению концентрации кислорода и рН.
Учитывая связь остеопластической пневмопатии с хронической сердечной недостаточностью и клапанными нарушениями, было высказано предположение, что оссификация возникает в результате аутолиза экстравазированных эритроцитов, приводящего к отложению гемосидерина, который, в свою очередь, вызывает фиброз и гиалинизацию и привлекает в очаг соли кальция и остеокласты.
Кроме этого, остеопластическая пневмопатия может иметь связь с повторяющейся аспирацией желудочной кислоты. Повышенная локальная кислотность и гипоксемия способствуют дифференцировке легочных фибробластов и макрофагов в остеобласты.
Возможно, легочная оссификация является следствием генерализованной кальцификации артерий и ее распространения на альвеолярные сосуды с последующей индукцией остеогенеза в легких в условиях окислительного стресса, воспаления и образования конечных продуктов гликирования. Вероятно, что многие другие, пока неизвестные факторы ответственны за метапластическую легочную оссификацию.
Классификация
В клинической пульмонологии выделяют два гистологических типа остеопластической пневмопатии: узловой (нодулярный) и древовидный (дендриоформный):
- Узловой. Характеризуется дольчатыми или округлыми оссификатами, расположенными преимущественно в альвеолярных пространствах, которые лишены элементов костного мозга. Согласно статистике, нодулярный вариант оссификации встречается чаще, чем дендриоформный, и обычно связан с сердечно-сосудистой патологией.
- Древовидный. Состоит из ветвящихся костных фрагментов, которые при лучевой диагностике определяются в виде линейных теней толщиной 1-4 мм. Они часто обнаруживаются вдоль альвеолярных перегородок, как правило, включают элементы костного мозга. Древовидный тип остеопластической пневмопатии обычно является идиопатическим или возникает в сочетании с первичными заболеваниями легких.
Симптомы остеопластической пневмопатии
Оссифицирующий пневмонит в большинстве случаев протекает асимптомно или со скудными клиническими проявлениями. В последнем случае типичными жалобами служат сухой кашель, боль в грудной клетке, общая слабость. Беспокоит инспираторная или смешанная одышка при умеренной физической нагрузке (быстрой ходьбе, подъеме по лестнице). Возможны жалобы на усиленное сердцебиение, дискомфорт в прекардиальной области.
Поскольку чаще всего остеопластическая пневмопатия ассоциирована с другими бронхолегочными заболеваниями, эти симптомы могут отражать активность основной патологии.
Осложнения
Остеопластическая пневмопатия иногда осложняется кровохарканьем, рецидивирующими спонтанными пневмотораксами. Обычно заболеванию свойственно медленное прогрессирование, вызывающее постепенное снижение функции легких. В тяжелых случаях развиваются резко выраженные рестриктивные нарушения легочной вентиляции, дыхательная недостаточность, легочное сердце. Описаны случаи летального исхода с почти полной оссификацией легких.
Диагностика
В бессимптомных случаях изменения в легких обычно обнаруживаются случайно при прохождении плановой флюорографии. Для окончательной верификации остеопластической пневмопатии требуется проведение расширенного рентгенологического, эндоскопического, гистологического дообследования:
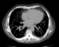
- КТ легких. Компьютерная томография служит стандартным методом выявления оссификации и сопутствующих заболеваний легких. На КТ определяются круглые узелки или ветвящийся древовидный рисунок. С помощью рентгенографии легких могут быть обнаружены диффузные изменения в легких, однако исследование не позволяет судить об их происхождении.
- Бронхоскопия. Эндоскопия ТБД с бронхоальвеолярным лаважем и трансбронхиальной биопсией является обязательной диагностической процедурой. Она позволяет исключить другие патологические процессы, однако редко позволяет верифицировать оссифицирующие изменения.
- Сцинтиграфия. Диагноз остеопластической пневмопатии может быть подтвержден с помощью радионуклидной диагностики. Исследование позволяет выявить аномальное накопление 99mTc-MDP в легочной ткани.
- ФВД. Комплексное исследование дыхательной функции обычно выявляет снижение (от умеренного до значительного) основных показателей: ОЕЛ, ЖЕЛ, ФОЕЛ, диффузионной способности легких и др.
- Видеоторакоскопия. В большинстве случаев окончательный диагноз легочной оссификации подтверждается по результатам торакоскопической биопсии. При гистологическом исследовании биопсийного материала в альвеолах или альвеолярном интерстиции определяются костные пластинки с тканью костного мозга или без нее.
Дифференциальная диагностика
Диагнозами, требующими исключения, выступают:
- болезни накопления (амилоидоз легких, легочный микролитиаз);
- инитерстициальные заболевания (гистиоцитоз X, гемосидероз легких);
- гранулематозные заболевания (гранулематоз Вегенера, саркоидоз);
- сосудистые патологии (инфаркт легкого, диффузное альвеолярное кровоизлияние);
- инфекции (милиарный туберкулез, гистоплазмоз);
- злокачественные новообразования.
Лечение остеопластической пневмопатии
Общепринятые рекомендации по лечению оссификацирующего пневмонита отсутствуют. Чаще всего проводится симптоматическая терапия кашля, бронхиальной обструкции и других клинических проявлений. С этой целью используются муколитики, бронхолитики, вазодилататоры, антиоксиданты и другие лекарственные средства. Может потребоваться кислородная поддержка, небулайзерная терапия. В некоторых случаях показана хирургическая резекция очагов поражения в объеме сегментэктомии, лобэктомии. Отдельным пациентам возможно проведение трансплантации легких.
Прогноз и профилактика
Остеопластическая пневмопатия является недостаточно изученным заболеванием, долгосрочные прогнозы которого остаются неизвестными. В основном отмечается доброкачественное течение патологии и медленное снижение дыхательной функции. Худшие прогнозы регистрируются у пожилых пациентов, имеющих сопутствующие сердечно-сосудистые и легочные заболевания.
Пациентам с установленным диагнозом оссифицирующего пневмонита требуется наблюдение врача-пульмонолога, проведение контрольной КТ легких. В целях профилактики рекомендуется исключить контакт с производственной пылью, металлами, прием пневмотоксичных препаратов, своевременно лечить сопутствующие заболевания.
|
Литература
1. Остеопластическая пневмопатия/ Буйневич И.В., Сверж Ж.Е., Кузьмич М.В., Карпеко А.Г., Штильман М.Е.// Проблемы здоровья и экологии. – 2017. 2. Остеопластическая пневмопатия. Клинический случай/ Л. Новикова, Ю. Николаева, И. Двораковская, А. Сперанская// Врач. – 2010. - №7. 3. Клиническое наблюдение остеопластической пневмопатии/ Бердников Р.Б., Филатова Е.А., Баженов А.В ., Савельев А.В., Верещагина А.В.// Фтизиатрия. - №2 (107). – 2013. 4. Лёгочная оссификация как форма антракосиликоза на фоне эпителиально-мезенхимальной трансформации (аналитический обзор и собственное наблюдение)/ Разумов В.В., Бондарев О.И.// Международный научно-исследовательский журнал. – 2014. |
Код МКБ-10
J98.4 |
| Процедуры и операции | Средняя цена |
| Пульмонология / Диагностика в пульмонологии / Исследование функции внешнего дыхания | от 95 р. 1426 адресов |
| Диагностика / Компьютерная томография (КТ) / КТ внутренних органов | от 66 р. 870 адресов |
| Пульмонология / Консультации в пульмонологии | от 33 р. 629 адресов |
| Пульмонология / Диагностика в пульмонологии / Рентгенография в пульмонологии | от 41 р. 506 адресов |
| Пульмонология / Диагностика в пульмонологии / УЗИ в пульмонологии | от 500 р. 401 адрес |
| Пульмонология / Диагностика в пульмонологии / Рентгенография в пульмонологии | от 680 р. 334 адреса |
| Пульмонология / Диагностика в пульмонологии / Эндоскопия дыхательных путей | от 500 р. 324 адреса |
| Пульмонология / Диагностика в пульмонологии / Томография в пульмонологии | от 475 р. 252 адреса |
| Пульмонология / Диагностика в пульмонологии / Рентгенография в пульмонологии | от 300 р. 173 адреса |
| Пульмонология / Диагностика в пульмонологии / Диагностические операции в торакальной хирургии | от 2750 р. 104 адреса |
Комментарии к статье
Вы можете поделиться своей историей болезни, что Вам помогло при лечении остеопластической пневмопатии.


